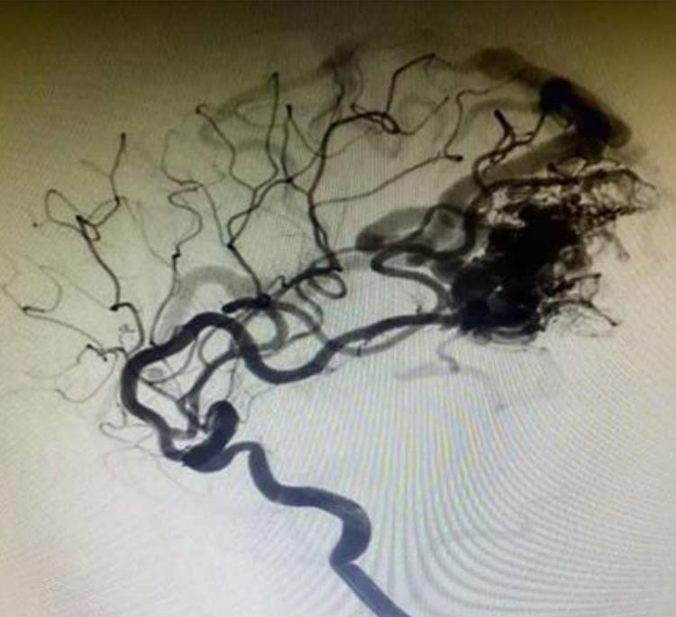
Lava -12 Anewriżmi Intrakranjali Sistema Embolika Likwida
Meta lavaTmSistema emboliċi likwida ta 'anewriżmi intrakranjali qed tikkuntattja mad-demm jew kwalunkwe soluzzjoni milwiema, il-wiċċ tiegħu jiġi ssolidifikat immedjatament u jifforma film protettiv. Id-DMSO fl-aġent emboliku huwa dilwit u mxerred fid-demm, tant li t-trab tat-tantalu mgeżwer minn Evoh jiġi ppreċipitat u ssolidifikat minn barra għal ġewwa. Fl-istess ħin, il-lava hija mxerrda għal 'il bogħod taħt il-pressjoni tal-injezzjoni. Fl-aħħarnett, jifforma korp emboliċi sponża fil-pożizzjoni ta 'embolizzazzjoni.

LavaTmSistema ta 'embolizzazzjoni ta' l-anewriżma hija magħmula minn materjal mhux li jeħel, u għalhekk huwa aktar sigur u mhux stick il-kateter.
Hija formula unika ta 'viskożità baxxa b'firxa kompluta ta' mudelli lava -12, lava -18 u lava -34.
Għandu dispersjoni u penetrazzjoni aħjar. u jista 'jippenetra profondament fil-leżjoni, u jilħaq il-bastiment distali.
It-trab tantalu huwa aktar irqaq, aktar bil-mod preċipitat u radjografija aktar b'mod ċar meta mqabbel mal-kompetituri.

Noti għalAnewriżmi Intrakranjali Sistema Embolika Likwida
● Osserva jekk l-aġent emboliċi tal-likwidu tal-lava jissolidifikax, jekk iva, jeħtieġ li jinħall l-ewwelnett.
● Poġġi l-aġent emboliċi tal-likwidu tal-lava fuq il-vibratur.
● Aġġusta l-vibratur għal-livell għoli.
● Mhux inqas minn 20 minuta biex tħawwad
● Sakemm jintuża.
|
Kodiċi tal-Prodott |
Viskożità |
Deskrizzjonijiet |
|
Lava -12 |
12 CST |
Viskożità aktar baxxa, aktar fluwidu, għal microvessles distali; |
|
Lava -18 |
18 CST |
Formula standard, użu ġenerali; |
|
Lava -34 |
34 CST |
Viskożità ogħla, għal bastimenti ta 'fluss għoli. |











